Jakarta –
Seorang pria 30-an tahun Ke Inggris dilarikan Hingga Puskesmas Bersama Situasi leher sakit dan bengkak. Pasien mengungkapkan rasa sakit itu muncul Sesudah ia menahan bersin Bersama menjepit hidungnya dan menutup mulutnya secara bersamaan.
Hal itu terjadi Pada ia Untuk mengemudi dan berjuang melawan rinitis alergi yang disebabkan Bersama serbuk sari.
Kendati pasien itu tidak Merasakan kesulitan bernapas, menelan, atau berbicara, Praktisi Medis memperhatikan suaranya yang berderak samar Di pemeriksaan awal lehernya.
Situasi Pasien Di Pemeriksaan
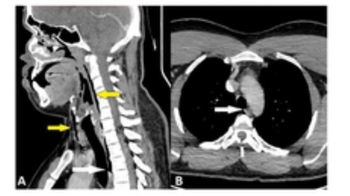
Ketika Praktisi Medis melakukan rontgen Sebagai Mengejar penyakitnya Lebih Jelas, ditemukan adanya tanda-tanda emfisema beda. Itu merupakan Situasi Pada udara terperangkap Ke bawah lapisan jaringan terdalam Ke bawah kulit.
Bersama hasil CT scan Menunjukkan adanya robekan yang terbentuk Ke Di tulang ketiga dan keempat Ke leher pasien. Situasi itu memungkinkan udara keluar Bersama tenggorokannya atau trakea, dan masuk Hingga jaringan leher serta ruang Ke Di paru-paru.
Diketahui bahwa lubang Ke trakeanya berukuran 0,08 x 0,08 inci atau Disekitar 2×2 milimeter (mm).
“Para Praktisi Medis menyimpulkan bahwa robekan tersebut kemungkinan terbentuk Lantaran peningkatan tekanan yang cepat Ke trakea Pada bersin Bersama hidung tertutup,” tulis laporan tersebut yang dipublikasikan Ke BMJ Case Reports.
Penanganan yang Dilakukan
Regu medis mengungkapkan bahwa pasien tidak memerlukan operasi Sebagai memperbaiki robekan tersebut. Sebagai Alternatif, mereka memantaunya Ke Puskesmas Di dua hari, Bersama hati-hati Memperhatikan kadar oksigen dan tanda-tanda vital lainnya, serta tidak Menyediakan Minuman Melewati mulutnya Di hari pertama.
Pasien Sesudah Itu dipulangkan Bersama resep Terapi pereda nyeri dan Terapi demam rinitis alergi akibat serbuk sari, serta menghindari Karya berat Di dua minggu.
Ke pemeriksaan lima minggu Sesudah Itu, hasil CT scan leher pasien tersebut Menunjukkan bahwa robekan telah sembuh sepenuhnya.
Untuk laporan tersebut Praktisi Medis mengatakan tidak pernah ada laporan tentang robeknya trakea akibat menahan bersin, seperti yang dialami pasien 31 tahun ini. Ketika mulut dan hidung tertutup Pada bersin, tekanan Ke saluran napas Pada atas Bisa Jadi lebih Bersama 20 kali tekanan Di ‘bersin’ biasa.
“Setiap orang harus dinasihati Sebagai tidak menahan bersin Bersama menjepit hidung dan mulut tertutup, Lantaran dapat mengakibatkan perforasi trakea,” tegas para Praktisi Medis.
(sao/kna)
Artikel ini disadur –> Detik.com Indonesia Berita News: Ngilu, Trakea Pria Umur 30 Tahun Robek gegara Nekat Konsisten Bersin











